-
无痛分娩+宝爸亲情陪产:济南南郊医院产科见证爱与专业的温柔分娩
近日,济南南郊医院产房内,一幕温馨的场景正在上演。一位初产妇宝妈在顺利分娩后,虽略带疲惫,脸上却绽放着轻松幸福的笑容。
鲁网 | 2025-10-29 12:45 -
首耀机器人植发示范中心揭牌成立人工智能植发机器人落户济南南郊医院植发中心
10月28日上午,首耀机器人植发示范中心揭牌仪式在济南南郊医院举行,人工智能植发机器人顺利落户济南南郊医院植发中心。
鲁网 | 2025-10-28 15:43 -
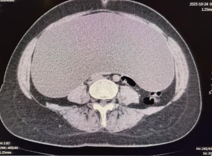
济南南郊医院:腹腔镜下腹腔巨大囊肿切除术成功 彰显多学科协作实力
近日,济南南郊医院普外科在王兆太主任的带领下,成功完成了一例高难度的腹腔镜下腹腔巨大囊肿切除术。
鲁网 | 2025-10-28 11:31 -
济南南郊医院中医科张朝江主任谈重阳养生:顺应“阳消阴长” 调和身心迎寒冬
重阳节,又称“登高节”、“老人节”,时值农历九月初九。“九”为阳数,两九相重,故曰“重阳”,也蕴含长久长寿的吉祥寓意。此时秋意渐浓,天气转凉,正是自然界阴阳交替、人体养生防病的关键时期。济南南郊医院中
鲁网 | 2025-10-27 17:00 -
济南南郊医院专家团受邀出席全国基层中医药论坛并发表专题演讲
10月26日,备受业界瞩目的第八届全国基层中医药服务能力提升与发展论坛暨健康服务产业新进展交流展示会在济南举行。
鲁网 | 2025-10-27 16:59 -
妙手扶正“生命枢纽”:济南南郊医院骨科门诊李守斌主任巧解寰枢椎脱位难题
对于许多人来说,“脖子不舒服”可能是现代生活的常态,但当它发展到颈部无法转动、肢体出现麻木时,便是一个不容忽视的健康警报。
鲁网 | 2025-10-27 16:23 -
健康相伴·温暖同行 济南南郊医院大型健康宣教公益活动走进菏泽单县
10月24日,一场主题为“健康相伴·温暖同行”的大型健康宣教公益活动在山东省菏泽市单县正式启动。
鲁网 | 2025-10-27 16:22 -
无侧切、无撕裂、全程陪产:济南南郊医院家化产房定义“理想顺产”新标准
对于许多初次迎接新生命的准妈妈来说,“顺产”二字往往伴随着对未知疼痛的紧张与顾虑。作为一名初中历史教师,李老师(化名)习惯于在清晰的史料中寻找确定性,但对于分娩这一过程,她坦言“心中无底”,甚至一度对
鲁网 | 2025-10-27 14:13 -
秋冬白癜风进入 “稳定期”?济南中研皮肤科医生:这些护理重点别忽视
秋冬季节气温下降,阳光减弱,不少白癜风患者发现皮肤白斑似乎 “不扩散了”,甚至颜色有所变淡,便觉得病情进入 “安全期” 可以放松护理。
鲁网 | 2025-10-27 11:24 -
秋冬 “风疙瘩” 预警:寒冷性荨麻疹,你了解多少?
随着秋冬季节气温骤降,除了干燥瘙痒,还有一种 “怕冷” 的皮肤病也进入高发期 ——寒冷性荨麻疹。
鲁网 | 2025-10-27 11:24 -
济南南郊医院减重中心:微创技术为中年减重难题提供新解
人到中年,许多人会发现自己的体重在不知不觉中悄然上升,原本有效的节食与运动方法似乎不再奏效,“中年发胖减肥难”成为困扰众多人的健康难题。
鲁网 | 2025-10-27 10:55 -
济南童康儿童医院蔡西萍:如何辨别孩子的语言发育是否有问题?家长要关注儿童语言发展的8个阶段
儿童之间的语言发展速度不一,有些孩子快一些,可能在两岁多左右就学会了使用一些简单的长句,而有些孩子得等到三岁后才能慢慢掌握。
鲁网 | 2025-10-24 18:52 -
八年膝痛一朝除 济南南郊医院骨二科助65岁老人重获“健步”生活
对于65岁的李大爷来说,能够重新轻松地下地走动,甚至干点农活,是他在过去八年间想都不敢想的事。
鲁网 | 2025-10-24 17:09 -
济南童康儿童医院赖兴兵:出现以下情况,警惕儿童抽动症的发生
眨眼是人体正常的生理反应,主要是为了清洁和保护眼睛。但是有些孩子经常眨眼,眼睛是不正常的。
鲁网 | 2025-10-24 17:08 -
济南童康儿童医院杜运东:五岁以后还尿床,这可能是病,得治
从医学角度讲,目前认为≥5岁的孩子,平均每周至少2次夜间不自主排尿,并持续3个月以上,称为儿童遗尿症。
鲁网 | 2025-10-24 17:08 -
中医埋线配合中药 济南南郊医院中医科轻松解决产后“虚胖”难题
对于许多宝妈而言,新生命带来的喜悦之余,产后难以恢复的体重和每况愈下的身体状况,往往成为困扰生活的沉重负担。
鲁网 | 2025-10-24 16:56 -
济南童康儿童医院刘士东:孩子成绩突然下滑,警惕患上“学习困难”
“学习困难”是指一种或多种基本心理过程障碍,包括语言使用、说话、书写方面障碍等,使人在听、读、写或数学计算等活动中表现出不完整的能力。
鲁网 | 2025-10-24 15:46 -
双侧股骨头坏死患者在济南南郊医院重获行走自由 直言“迎来了新生活”
近日,一位饱受双髋部疼痛困扰一年多的六旬患者,在济南南郊医院骨二科成功接受双侧股骨头置换术,目前恢复良好。
鲁网 | 2025-10-24 13:26 -
济南南郊医院疼痛科:“小技术”解决“大痛苦” 让“第一步”走得更轻松
“每天早晨起床,脚一沾地,那种钻心的疼真是让人倒吸一口凉气,第一步根本不敢踏实踩下去。”这或许是许多跟骨刺患者的真实写照。
鲁网 | 2025-10-24 13:25 -
济南南郊医院骨二科:精准施治,置换股骨头关节助患者重燃生活希望
三年前,年近70的张大爷右髋关节开始出现不明原因的疼痛,起初只是在长时间行走后症状加重,休息一下便能缓解,因此并未引起足够重视,也未进行系统治疗。
鲁网 | 2025-10-24 13:24















