多学科协作护航 济南南郊医院为高龄高危患者成功实施全膝关节置换
近日,济南南郊医院骨科杨学良主任团队,成功为一名75岁、饱受10余年膝痛折磨伴严重内翻畸形的高龄患者,实施右侧人工全膝关节置换术,助老人彻底告别疼痛、重归正常生活。

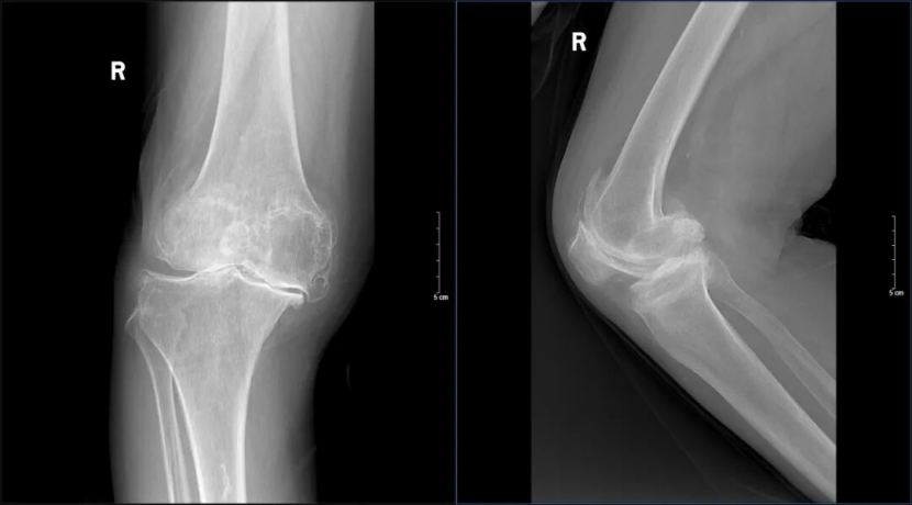
患者10余年前开始出现右膝关节疼痛,长期自行口服镇痛药,未接受系统规范治疗。病痛逐年加重。逐渐出现膝关节内翻畸形,活动受限明显,日常生活深受影响。为进一步治疗来到济南南郊医院骨科就诊。门诊检查后,以“双侧膝关节骨性关节病”收入院。
入院后,骨科杨学良主任团队为老人进行了详细查体及影像学评估。排除传统关节镜清理、单髁置换及截骨手术的适用性,确定全膝关节表面置换术为唯一根治方案。因患者术前心电图及心脏彩超异常,手术风险较高,团队启动多学科协作(MDT),联合心内科制定周密围手术期方案,待条件达标后如期手术。


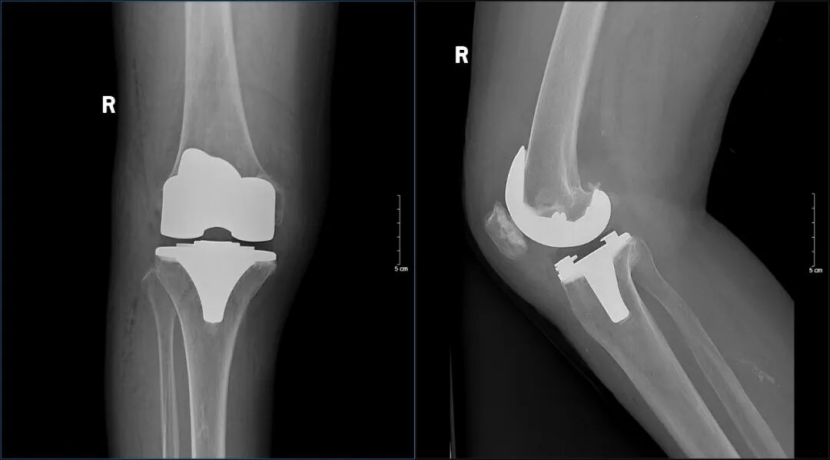
在手术室及麻醉科团队的密切配合下,杨学良主任凭借丰富经验和精准操作,成功为患者实施右侧人工全膝关节置换术。术中精细松解、假体安装稳固,畸形得到即刻矫正。术后患者恢复良好,关节活动度显著改善。
杨学良主任提醒,膝关节骨性关节炎是中老年人高发退行性疾病,早期出现膝痛、肿胀、活动受限,切勿依赖止痛药拖延治疗,应尽早到正规医院就诊;晚期伴严重畸形者,全膝关节置换术可有效缓解疼痛、矫正畸形、恢复关节功能,提升生活质量。
责任编辑:李 震