20年膝痛难忍致畸形 南郊骨科杨学良主任妙手置换解痛苦
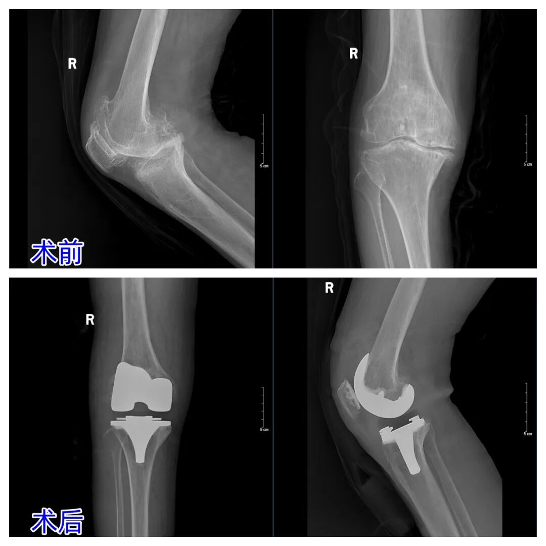
66岁张阿姨(化名)右膝疼痛20多年,起初久走隐痛,后发展成严重膝内翻畸形,关节僵硬,下蹲、起身困难。口服药物、外用膏药效果不佳。她慕名到济南南郊医院骨科,杨学良主任确诊为骨性关节炎4级,给出方案——全膝关节置换术可解决问题。

术中,杨主任用独创的内侧副韧带深度松解技术精准平衡关节间隙,安装假体后即刻矫正畸形。

术后3天,老人膝关节活动度接近正常,能轻松迈步。膝关节骨性关节炎是中老年人“隐形杀手”,拖得越久畸形越重。杨主任提醒,早诊早治是关键,晚期严重畸形患者,人工关节置换可快速“重启”关节功能,告别疼痛束缚。
责任编辑:李 震