从“举步维艰”到“行走自如”:南郊医院骨二科助七旬老人“无痛”行走
在济南南郊医院骨科病房,76岁的王奶奶(化名)正扶着助行器缓缓踱步,脸上洋溢着久违的笑意。谁能想到,这位精神矍铄的老人,竟与膝关节疼痛顽强抗争了整整三十年。

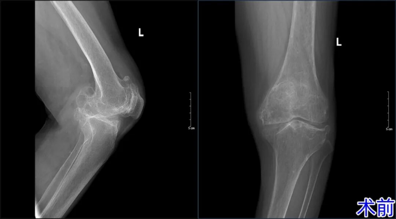
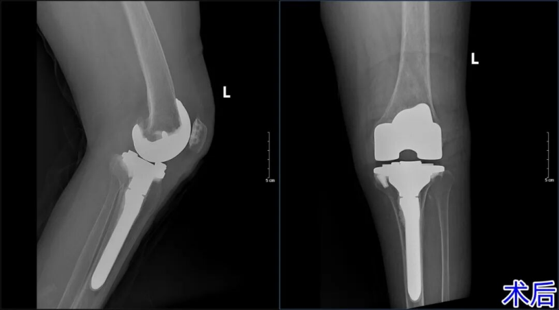
年轻时,双膝反复的酸痛便如影随形,其中右膝的症状尤为剧烈。直到2025年7月,持续的剧痛彻底击碎了老人的生活节奏——起身艰难、步态蹒跚,她才在家人的搀扶下,慕名来到济南南郊医院骨二科求医。经详细检查,结果令人揪心:王奶奶被确诊为双膝重度骨关节炎,且右膝病变已发展至终末期。杨学良主任团队迅速响应,为其成功实施了右膝关节置换术。术后,那纠缠多年的梦魇终于消散,关节屈伸恢复如常,王奶奶生平第一次体会到了“走路不疼”的轻松。


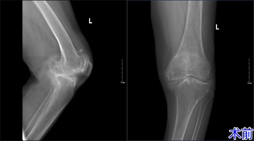
然而,左膝的隐患并未随之而去。随着疼痛日益加剧、关节严重变形,老人连基本的日常行走都举步维艰。“右腿好了,左腿绝不能拖后腿!”怀着对健康的渴望,王奶奶毫不犹豫地再次将信任交给了骨二科。面对左膝高达30°的内翻畸形、仅10°-100°的屈伸活动度,杨学良主任带领团队开启了新一轮的技术攻坚。从全面的心肺功能评估到假体的精确选型,从微创切口的设计到截骨角度的测算,每一个环节都精雕细琢,力求完美。
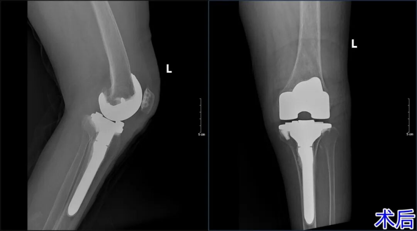
手术台上,杨学良主任凭借二十余年的深厚积淀,精准清除了病变组织,成功矫正了畸形并稳固植入了人工假体;病房内,护理团队贯彻加速康复理念,24小时无缝隙守护,将伤口护理、疼痛管理与康复训练环环相扣。
如今,王奶奶的左膝不仅能平稳承重,更能自主屈伸,饮食与睡眠也重归正轨。“真没想到,这把年纪还能走得这么稳当!”老人的由衷感慨,是对骨二科全体医护人员最高的褒奖。
在济南南郊医院骨二科,“以患者为中心”不仅仅是一句口号,更是融入每一次诊断、每一台手术、每一次护理的行动指南。用专业拆解病痛,用温情守护希望,只为让每一位患者都能重新迈出轻盈、自信的步伐,重获有尊严的幸福晚年。