单髁置换精准“救膝”!67岁患者术后重获健步人生
近日,济南南郊医院骨科杨学良主任团队成功为一名67岁右膝退行性骨关节炎患者实施膝关节单髁表面置换术,以"精准打击"替代传统全膝关节置换,术后恢复效果超预期,患者及家属高度认可骨科团队给出的治疗方案。

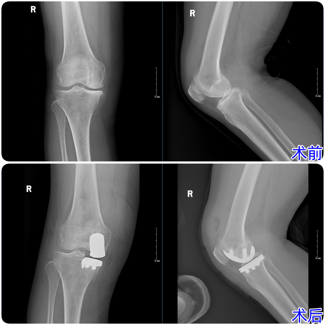
患者被右膝关节内侧疼痛困扰多年,近期症状急剧加重,走路、上下楼都成了难题。来到济南南郊医院检查后,诊断结果显示:右膝关节退行性变,关节间室狭窄,股骨髁和胫骨平台内侧边沿有骨赘的形成,股骨胫骨骨软骨炎、骨髓水肿。复杂的病情让老人和家人一度陷入焦虑——难道要接受创伤更大的全膝关节置换术?
杨学良主任团队针对患者的病情展开了细致的术前病例研讨。经过全面评估,团队认为患者的病变仅集中在膝关节内侧间室,符合单髁表面置换术的手术指征,无需进行全膝关节置换。这种“精准对病灶下手”的方案,既能解决疼痛问题,又能最大程度保留患者自身的膝关节功能,创伤更小、恢复更快。

在手术室与麻醉科的密切配合下,团队按照预定方案顺利实施手术。术中精准定位病变区域,仅对磨损的关节面进行置换,整个过程高效且精准。术后,患者的恢复情况远超预期。在医护团队的专业指导下,患者很快就能下地进行功能锻炼,膝关节疼痛明显缓解,活动度也逐步恢复。

杨学良主任介绍,膝关节单髁表面置换术是针对膝关节单间室病变的“精准治疗”,相比全膝关节置换术,具有创伤小、出血少、术后疼痛轻、康复速度快等优势,尤其适合中老年人膝关节内侧间室磨损为主的退行性骨关节炎患者,能帮助患者更快回归正常生活。
济南南郊医院骨科始终坚持“精准医疗、微创治疗”的理念,凭借专业的技术团队和先进的诊疗方案,为骨病患者提供个体化治疗。针对膝骨关节炎建立“保守治疗→单髁置换→全膝置换”阶梯化方案,为不同阶段患者定制专属策略。
如果您或家人正被膝关节疼痛困扰,不妨来院就诊,让专业团队为您定制专属康复方案!