精准介入,重塑“食”望:济南南郊医院为食管癌狭窄患者打通生命通道
在消化道肿瘤性疾病诊疗领域,精准治疗的应用与患者生存质量的改善始终是关键。日本知名消化道专家相马宁教授长期坐诊济南南郊医院,秉持“以患者利益最大化为核心”的诊疗理念,推行“以疾病为中心”的多学科协作模式。相马宁教授带领团队与兄弟科室紧密联动,充分发挥内镜技术在肿瘤诊断与治疗中的精准优势,为晚期消化道肿瘤患者提供与国际水准同步的优质医疗服务,助力患者在控制病情的同时提升生存质量。


对于子宫癌腹腔转移导致十二指肠及胆道梗阻患者,将内镜与超声内镜结合,同步实施十二指肠支架和胆道支架放置术,让病人经口吃饭,最大限度地维持患者的生活质量。
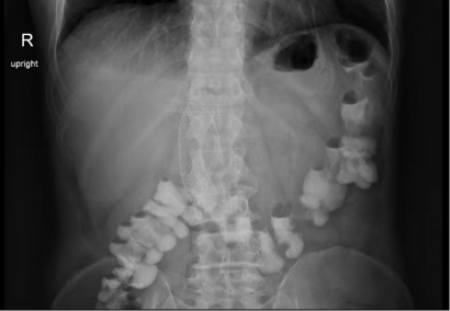
对于食管癌化疗后孔隙状狭窄患者,内镜与透视下介入技术结合,安全且精准放置食管支架,让患者恢复经口进食,正常生活,改善营养等身体状态,更好地接受进一步的抗癌治疗。
在食管癌化疗后狭窄患者的治疗中,相马宁教授团队也展现出了高超的技艺和深厚的医学素养,巧妙地将内镜与透视下介入技术相结合,安全、精准地放置了食管支架,不仅解决了患者的进食难题,更为患者后续的抗癌治疗奠定了坚实的基础。
济南南郊医院消化内镜中心相马宁教授团队对患者生存质量高度关注,他们用自己的行动,证明了为患者带来有尊严、有质量的生活。
责任编辑:李 震