济南南郊医院普外科成功救治车祸重伤者 腹腔镜手术显神威
23号凌晨,一场车祸中的重伤者送到了济南南郊医院。伤者是一名22岁的小伙子,因为多发伤,被送到南郊医院的神经外科,腹部CT检查未见外伤改变。在神经外科初步处理了脑震荡、头皮裂伤、腰椎骨折、左膝部挫裂伤和左股外侧肌腱膜破裂等外伤后,伤者在几小时后突发剧烈的腹部疼痛,随即被转至普外科进行紧急处理。


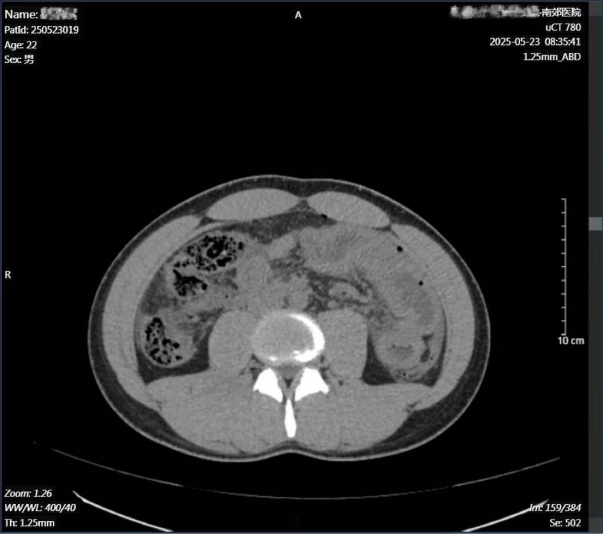
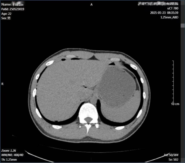
经普外科会诊,再次CT检查考虑是空腔脏器破裂导致的严重腹膜炎,查血常规白细胞为29.98×10^9/L。普外科王兆太主任团队为其制定了详细的手术方案,并为可能出现的突发状况制定了预案。在麻醉科、手术室等科室的通力合作下,为伤者进行了腹腔镜手术。


术中探查,腹腔大量浑浊液体约1000ml,重度感染,距离屈氏韧带约35cm处空肠见直径约1.5cm的穿孔,肠液及食物残渣不断渗出,另见部分小肠浆膜及左半结肠浆膜及脂肪垂挫伤。给予肠壁修补,大量生理盐水冲洗。手术过程中出血仅10ml。腹壁只有三个小孔,微创手术解决病人创伤难题。

手术第二天,王兆太主任带领团队成员进行了查房,仔细查看了伤者,一般情况良好,生命体征稳定,腹部无阳性体征,手术切口未见异常,引流液清,血性。王兆太主任还详细询问了伤者术后的感觉。

每一次的成功手术背后,都是对患者生命的尊重和守护,因此,济南南郊医院的普外科团队在每一个细节上都力求完美,不容许丝毫差错。普外科团队再次凭借卓越的医疗技能和崇高的医德赢得了患者的信赖和好评。
责任编辑:李 震