让生命与希望同频!乳腺恶性肿瘤患者点赞济南南郊医院肿瘤科团队
在济南南郊医院的肿瘤科病房里,一位69岁的乳腺癌患者正用笑容诠释着“重生”的意义——5个周期的治疗,70粒放射性粒子的精准植入,一场与时间的赛跑,让生命与希望同频。肿瘤科葛新华主任团队以精准的微创技术为武器,为患者量身定制个性化治疗方案:先后实施DSA引导下的动脉化疗药物灌注术+栓塞术,以及CT引导下碘125放射性粒子植入术。术后仅5周期治疗,肿瘤显著缩小,患者疼痛消失,生活质量大幅提升,家属连赞“技术精湛,服务暖心”。

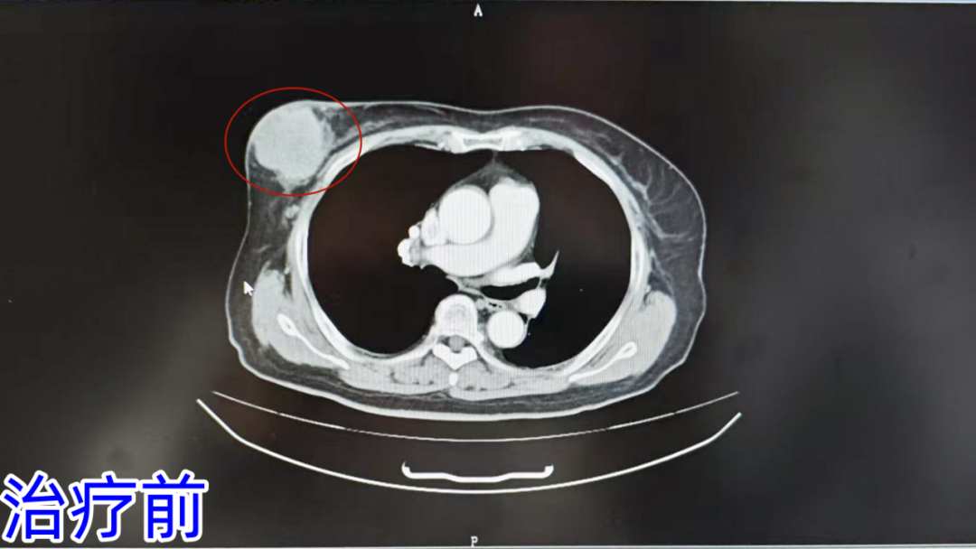
据了解,2024年7月患者无意间发现右乳出现一肿块,起初并未在意。到了10月,患者自感右乳肿块增大,还伴有胀痛,呈阵发性疼痛,可仍未进行特殊治疗。直至近7天疼痛加剧,患者才意识到问题的严重性,于2024年12月来到济南南郊医院寻求进一步诊治。
为了明确诊断,医院建议行乳腺肿物穿刺活检。在CT引导局麻下,医生顺利完成了乳腺肿瘤穿刺活检术。术后病理结果显示,结合免疫组化符合浸润性导管癌。

但济南南郊医院肿瘤科的医护团队并未让患者陷入绝望。肿瘤科葛新华主任凭借丰富的临床经验和专业知识,迅速带领治疗团队为其制定了分周期治疗方案。
先后在DSA引导局麻下行右乳腺恶性肿瘤、腋窝淋巴结继发恶性肿瘤经皮选择性动脉置管术(化疗药物灌注术 + 栓塞术),医生们凭借着高超的技艺,将化疗药物精准地输送到肿瘤部位,同时阻断肿瘤的血液供应,为后续的治疗奠定了坚实基础。
2025年1月,又在CT引导局麻下行右乳恶性肿瘤碘125放射性粒子植入术。70粒碘125放射性粒子(0.6mci)被精准地植入肿瘤内部,持续释放着射线,精准地杀灭肿瘤细胞。

在整个治疗过程中,医护人员的暖心护理滋润着患者的心田。他们用温柔的话语安慰患者,用细致入微的关怀照顾患者的生活起居,让患者在病痛中感受到了家的温暖。
从技术突破到服务升华,济南南郊医院肿瘤科正重新定义肿瘤治疗的高度。在这里,微创不仅是医学的进步,更是对生命的尊重;疗效不仅是数据的改善,更是尊严的守护。