七旬老人告别膝痛困扰,骨二科翻修手术助其重获行走自由
近日,济南南郊医院骨二科杨学良主任团队成功为一位右膝关节置换术后出现关节僵直、疼痛的患者实施了翻修手术。术后仅1周,老人已能独立行走,重获"无痛人生"。


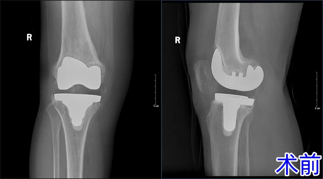
患者为一老年女性,现71岁。4年前因右膝关节骨性关节炎,在当地医院接受了膝关节置换手术,然而术后关节功能恢复并不理想,出现了关节僵硬、活动范围不足5度、行走时仍疼痛难忍……由于行动受限,她逐渐失去了独立生活的能力,甚至需要依赖止痛药度日。
为进一步治疗,患者及家属慕名来到济南南郊医院。经过详细检查,杨学良主任发现患者右膝关节功能严重受限,基本上处于“直腿”状态,从影像学检查上看,假体周围存在松动迹象。经过科室讨论,患者有进行假体翻修的必要性,最终确定了“右膝关节翻修术”的手术方案。
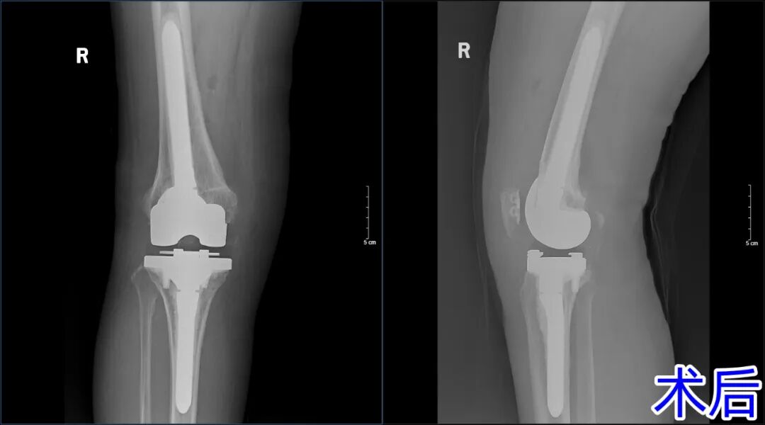
当人工关节出现松动、感染、磨损或位置异常时,需要通过二次手术更换部分或全部假体。相比初次置换,翻修手术面临骨缺损修复、软组织平衡等更高挑战,对主刀医生的经验和技术要求极高。杨学良主任团队迎难而上,在手术室与麻醉科的密切配合下顺利为患者实施手术。


令人欣喜的是,经过医护团队的共同努力,术后第二天患者就能在助行器辅助下行走,一周后已能脱离辅助工具自己行走。每一次手术都是病人的托付,每一例成功都是医学的进步。济南南郊医院骨二科将继续以匠心仁术,为更多患者解除关节病痛,守护老年人的健康晚年!
责任编辑:吴英兰