齐鲁医院心血管内科完成院内首例经导管肺动脉瓣置换术
10月4日,在齐鲁医院心血管内科张运院士及主任张澄教授的指导下,安贵鹏副教授带领团队成功完成了齐鲁医院首例经导管肺动脉瓣置换术(TPVR)。患者术后恢复良好,目前已顺利出院。
该患者为中年男性,26年前因“法洛氏四联症”行外科手术治疗,此次因“反复胸闷、气短”入院。超声心动图显示,法洛氏四联症外科术后,肺动脉瓣反流(重度)、升主动脉扩张、右心扩大。患者入院后,完善相关辅助检查,张澄带领团队组织了病例讨论,制订了治疗策略,评估了相关手术风险及预后。经充分讨论并与家属反复沟通后,决定对该患者实施经导管肺动脉瓣置换术。
在麻醉科王志南实施全麻后,由心血管内科安贵鹏、孟晓、董梅、刘祥娟、曹媛、马连越联合老年医学科郄良毅实施手术,张澄进行了全程指导。术中造影可见大量肺动脉瓣反流,沿右股静脉—下腔静脉—右心房—右心室—肺动脉送入超硬导丝建立轨道。根据测径球囊的测量,选用P34-25型号的VenusP-Valve瓣膜,至肺动脉分叉处开始释放,释放完成后重复造影可见人工瓣膜位置准确,形态良好,未见明显肺动脉瓣反流及瓣周漏。术后即刻拔除气管插管,手术成功。

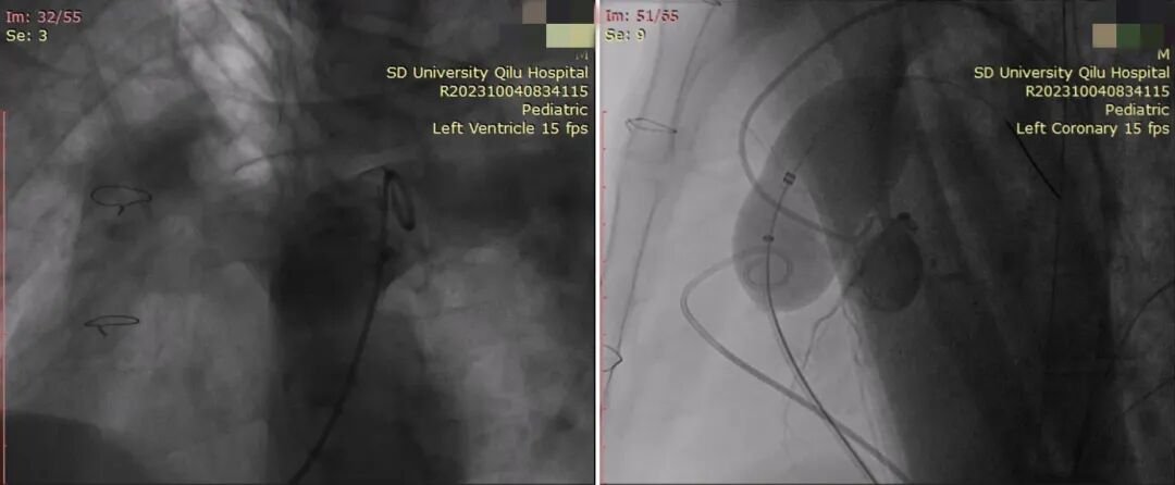
左图:肺动脉造影可见大量肺动脉瓣反流;
右图:充盈测径球囊,同时行冠脉造影

左图:VenusP-Valve瓣膜释放完成,造影显示位置准确,形态良好,无明显瓣膜反流及瓣周漏;
右图:重复行冠脉造影显示冠脉血流通畅

左图:术前超声心动图;右图:术后超声心动图
目前,很多先天性心脏病患者外科矫治术后仍存在严重的肺动脉瓣反流,但患者无法耐受再次开胸手术,心力衰竭症状逐渐加重,只能药物姑息治疗。经导管肺动脉瓣膜置换术具有创伤小、效果显著、安全性高等优点,为此类患者提供了新的治疗希望。
一直以来,齐鲁医院结构性心脏病团队在丰富的理论和实践基础上不断探索创新,先后为数百例心脏瓣膜病患者成功实施了介入治疗,团队TAVR手术量位居全国前10。此次,TPVR的成功开展是团队在瓣膜病介入治疗方面取得的又一重大进展,将造福更多的肺动脉瓣病变患者。