齐鲁医院心血管内科在CSI ASIA-PACIFIC和SOLACI 大会展示高难度TAVR手术
10月6日,受先天性、结构性和瓣膜心脏病介入治疗亚太地区大会(CSI ASIA-PACIFIC)邀请,齐鲁医院心血管内科结构性心脏病团队在会上演绎高难度经导管主动脉瓣置换术(TAVR),获得了与会各专家的高度肯定及赞扬,向全世界心血管同道展现了中国术者在主动脉瓣介入治疗领域的精湛技术和成熟器械。


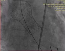
患者老年男性,因“发作性晕厥1年,加重10余天”就诊。患者入院后经药物治疗,仍反复发作胸闷胸痛,症状难以控制。心血管内科主任张澄教授立即组织病例讨论,制定治疗策略,评估相关手术风险及预后。考虑患者主动脉瓣重度狭窄,瓣口面积仅有0.36cm2,跨瓣压差高达128mmHg,经充分讨论并与家属反复沟通后,决定对该患者实施经导管主动脉瓣置换术(TAVR)。手术团队由心血管内科安贵鹏、孟晓、董梅、刘祥娟、马连越和曹媛组成,心血管内科主任张澄进行全程指导。手术采用了最新的极简式TAVR,应用局部麻醉和加硬导丝起搏,不再进行全麻、镇静、食道超声指引或置入尿管。术中造影见主动脉瓣重度钙化,结合术前分析,选用了20mm球囊行预扩张,高位释放26mm的VenusA-Valve瓣膜。释放完成后重复造影可见人工瓣膜位置准确,形态良好,未见主动脉瓣反流及瓣周漏,跨瓣压差由术前120 mmHg,降至2mmhg,手术成功。


近日,安贵鹏副教授团队还受邀在拉丁美洲最大的心血管病学术会议——2023年拉丁美洲介入心脏病学会年会(SOLACI)上分享了二叶式主动脉瓣的TAVR治疗经验。董梅副教授代表团队介绍了中国二叶式主动脉瓣的病变特点,通过一例无钙化大瓣环横位心TAVR,生动展示了如何为BAV患者行介入治疗,在国际会议上分享了中国术者在二叶式主动脉瓣TAVR治疗的经验和心得,精彩汇报受到了与会各专家的一致好评。


在张运院士及张澄教授的指导下,山东大学齐鲁医院心血管内科自开展TAVR手术以来,手术成功率达99%。采用的介入路径多样化,已完成经股动脉、经颈动脉、经锁骨下动脉及经下腔各种入路的操作,所做病例涉猎到二叶瓣畸形、外科生物瓣衰败、横位心、重度心功能不全ECMO辅助和急诊极重度狭窄等特殊情况,手术经验和效果获得国内外同行的认可和肯定。