山东第一医科大学附属省立医院完成经导管肺动脉占位活检术
近日,山东第一医科大学附属省立医院(山东省立医院)心内科成功开展了首例经导管肺动脉占位活检术,该项技术的开展标志着医院心内科肺血管介入亚专业迈入新的发展阶段。

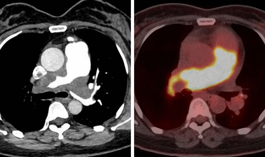
患者为44岁女性,因胸闷、咳嗽4月余来院就诊,此前在当地医院诊断为肺动脉栓塞,治疗效果欠佳。患者入院后,心内科专家仔细回顾患者病史,结合临床表现及影像学资料,对肺动脉内占位病变进行鉴别诊断,认为肺栓塞诊断不成立,随后组织多学科会诊,最终通过PET/CT检查明确了诊断方向——肺动脉恶性肿瘤。病理的取得对患者的诊断治疗至关重要,心内科肺血管亚专业团队与患者及家属沟通后,决定行经导管肺动脉活检术获取肺动脉占位组织。

手术在东院介入中心进行,张明伟副主任医师进行手术操作,在X射线下将导引导管置入肺动脉,活检钳沿导管进入肺动脉内占位组织附近,超声医学科杨明副主任医师行经胸超声实时定位引导,避免损伤正常肺动脉壁。最终在X射线及超声的双重引导下,活检钳于肺动脉内精准钳夹出多块异常组织,送病理科确定病变性质。

省立医院心内科肺血管亚专业团队目前已先后开展了规范化的右心导管检查、经皮腔内肺动脉球囊成形术、肺动脉腔内影像学、经导管肺动脉活检等介入手术操作,多项技术填补了医院肺血管介入领域的空白,极大推动了肺血管疾病的诊疗水平,造福广大患者。

张明伟
医学博士,省立医院心内科副主任医师,现任中国心胸血管麻醉学会围术期医学分会委员,山东省健康管理协会肺血管病学专业委员会委员兼秘书,山东省心功能研究会肺血管与右心疾病专业委员会委员,山东省公共卫生学会肺血管病防治分会委员。主要从事冠状动脉疾病与肺血管疾病的介入诊疗、心脏重症等工作。
责任编辑:吴英兰