山东第一医科大学附属省立医院采用机器人辅助腹腔镜技术完成右肾巨大肿瘤切除及下腔静脉癌栓切除术
近日,山东第一医科大学附属省立医院(山东省立医院)泌尿外科与多学科协作,采用达芬奇机器人辅助腹腔镜技术,实施了“腹腔镜右肾根治性切除+下腔静脉癌栓切除术”,切除右肾巨大肿瘤合并下腔静脉癌栓。
42岁的宋某近期持续出现右侧腰部疼痛,到当地医院就诊,诊断为右肾癌,肿瘤已经沿着右肾静脉长至下腔静脉,且宋某左肾先天性发育不良,在三年前因心梗放置心脏血管支架,病情十分危重,辗转来到省立医院就诊。
泌尿微创二科夏庆华教授团队检查后明确,患者左肾先天性发育不良,功能只有正常的肾脏的1/4,同时合并高血压、高血脂,而且在三年前因心梗放置心脏血管支架,长期服用抗凝药物,不利因素众多。结合宋某的影像学资料,术前诊断为右肾肿瘤并右肾静脉、下腔静脉癌栓(cT3cN0M0,梅奥分级II级),手术风险巨大,可能面临手术中大出血、瘤栓脱落导致肺栓塞可能,手术死亡率极高。

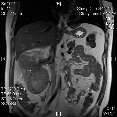
术前MRI示右肾恶性肿瘤并下腔静脉癌栓
科室高度重视患者病情,组织围手术期相关的麻醉手术科、心内科、重症医学科、影像科等多个学科的专家进行多学科综合会诊(MDT),确定采用达芬奇机器人辅助腹腔镜技术,为患者实施“达芬奇机器人辅助腹腔镜右肾根治性切除+下腔静脉癌栓切除术”。

手术治疗小组术前讨论情况
以往处理下腔静脉癌栓多选择开放手术,需要在患者上腹部行30cm左右的巨大切口才能完成手术,手术需要切断患者腹部多组肌肉,严重影响患者术后生活质量。为了减少患者创伤,并发挥达芬奇机器人辅助腹腔镜技术的优势,手术团队经过术前反复讨论,决定采用达芬奇机器人辅助腹腔镜技术来实行手术。
术中,手术团队利用达芬奇机器人手术系统精准操作,充分游离暴露下腔静脉、右肾动脉等重要血管结构,先夹闭并切断右肾动脉,再依次阻断下腔静脉远端、左肾静脉、下腔静脉近端。阻断后切开下腔静脉,顺利取出所有癌栓,缝合下腔静脉切口,依次解除血管阻断,期间患者血流动力学稳定。手术共历时3个小时,顺利完整切除整个右侧肾脏及全部癌栓,没有癌栓脱落。

夏庆华教授团队合影
在科室护理队伍的精心照料下,患者术后第二天即恢复饮食,并在术后尽早下地活动,术后七天顺利康复出院。
“夏庆华教授团队长期致力于肾癌的微创治疗临床工作,达芬奇机器人手术已超过200台次。此次高难度复杂肾癌手术的成功实施不仅展示了达芬奇机器人手术系统精准操作的优势,更凸显了山东第一医科大学附属省立医院泌尿外科团队在采用达芬奇机器人手术系统处理疑难复杂肾脏肿瘤的高超医疗技术和默契的团队配合。”泌尿微创二科熊晖主任医师表示。