山东第一医科大学附属省立医院完成儿童左束支起搏的双腔抗核磁起搏器植入术
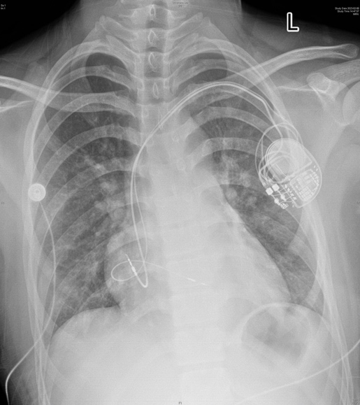
鲁网2月13日讯 2月7日,山东第一医科大学附属省立医院(山东省立医院)儿科主任、小儿心脏科主任韩波教授带领团队,成功为一名13岁患儿植入山东省首例左束支起搏模式的3.0T双腔抗核磁心脏永久起搏器。
患儿出生后即被发现心脏扩大伴完全性左束支传导阻滞,7年前进展为Ⅲ度房室传导阻滞,24小时平均心率为41次/分,左心室显著扩大,亟需植入心脏永久起搏器。2月6日下午,小儿心脏科全体医务人员进行术前讨论,并为患儿做好充分的术前准备。2月7日上午,韩波教授在介入诊疗中心为患儿成功实施手术,采用了更符合生理特点的左束支起搏方式。经测试,起搏器各项功能良好,患儿安全返回病房。
目前,临床常用的普通起搏器无法进行磁共振检查,磁共振可以导致起搏器故障、诱发严重心律失常、加热电极导线头端损伤心肌,甚至导致心肌穿孔等。患儿植入抗核磁起搏器后,可以随时进行磁共振检查,无后顾之忧。患儿做磁共振检查前,只需将起搏器设置为磁共振检查模式,检查结束后,再程控为原先的模式。
左束支起搏是2017年由中国学者黄伟剑教授创建的一项新的起搏技术,是经静脉将心室起搏电极通过右室间隔侧旋转到左室间隔侧心内膜下,起搏时可以夺获左束支区域从而快速激动心室肌,保证左心室同步收缩,起搏QRS波窄,且局部丰富的心肌提供安全备份起搏,起搏参数更加优越,远期安全、稳定。该方法可以纠正左束支传导阻滞。使用双腔抗核磁起搏器与左束支起搏技术,除心脏起搏功能外,还有利于改善心功能,患儿获益良多。


省立医院小儿心脏科在韩波教授带领下,2004年在省内率先开展儿童起搏器植入术治疗完全性房室传导阻滞与病态窦房结综合征,2016年在省内率先植入儿童双腔永久起搏器,2018年完成省内首例儿童 ICD 植入术,同年植入省内首例儿童心外膜永久起搏器,迄今已完成各类儿童心脏病介入手术逾6000例,其中儿童起搏器植入术80余例,是山东省开展小儿心脏病介入手术时间最早、种类与数量最多、质量最好的科室,跻身于全国先进行列。此次左束支起搏的双腔抗核磁起搏器的成功植入,标志着小儿心脏科在起搏器的植入技术方面再上新台阶。(通讯员 吕建利)