国内首例!山东大学齐鲁医院史本康教授团队完成达芬奇机器人辅助腹腔镜异位肾肾盂成形术
鲁网12月12日讯 近日,齐鲁医院泌尿外科史本康教授尿路修复团队完成国内首例达芬奇机器人辅助腹腔镜异位肾肾盂成形术治疗异位肾肾盂积水。患者术后恢复良好。
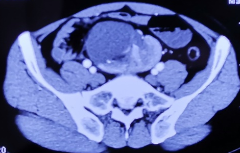
患者男,22岁,因“查体发现异位肾4年,左下腹疼痛1周”就诊,无尿频尿急尿痛,无肉眼血尿等其他临床症状,B超检查显示左侧异位肾,肾盂肾盏积水。行逆行造影检查显示左肾异位,左肾盂明显积水。行CTA(CT血管造影)检查显示左肾区空虚,盆腔内见异位肾体,异位肾门朝前。右侧髂总动脉及肠系膜下动脉发出分支分布于异位肾,异位肾静脉汇入下腔静脉下段,异位肾肾盂明显扩张。行ECT(利用放射性核素的检查方法)检查显示GFR:左肾8.88ml/min,右肾49.45ml/min,总值58.33ml/min。考虑患者左肾功能受损伴下腹部疼痛,遂行达芬奇机器人辅助腹腔镜左侧异位肾肾盂成形术。
手术由史本康教授、孟辉主治医师主刀,蒋学文主治医师担任一助,术中见下腹部正中偏右侧可见异位肾,肾盂扩张积水明显,仔细游离肾盂及输尿管中上段,可见输尿管开口高位,周围可见纤维条索牵拉包裹,将纤维条索游离并切除,于外侧纵向切开约2cm,后切开肾盂减压后,裁剪扩张的肾盂,使吻合口呈斜行全层吻合肾盂最低点及输尿管最低点,可吸收线连续缝合吻合口后壁,输尿管内留置F5双J管1根,间断缝合吻合口前壁,术后六周拔除双J管,拔除双J管后复查积水及症状均消失。

术后6周复查患者疼痛消失,查血显示尿素氮 4.30 mmol/L,肌酐 92 μmol/L,肾小球滤过率 101.350 ml/min,CT显示肾盂积水明显减轻。

肾脏由于肾血管起源异常未能上升、上升过度或误升到对侧,都会导致肾脏定位的异常,其发病率在1/500—1/1200。异位肾主要分为三类:盆腔异位肾、胸腔异位肾以及交叉异位肾。异位肾常伴随肾脏旋转不良,肾盂常位于肾脏前方,伴有输尿管走行迂曲,导致肾积水、肾结石和感染的发生。有研究表明,39.2%异位肾伴有肾盂输尿管连接部狭窄。
盆腔异位肾是最常见的异位肾类型,其发病率在1/2200—1/3000。盆腔异位肾通常没有临床症状,但发生肾积水、肾结石或感染时,会表现出腰部疼痛不适、脓尿或血尿等症状,部分患者可触及盆腔肿物。由于异位肾解剖及位置的异常,会加大手术难度。
开放性肾盂成形术曾经是治疗肾盂输尿管连接处梗阻(UPJO)的金标准,成功率达90%。随着微创的快速发展,腹腔镜手术因创伤小、疼痛轻、恢复快等优点成为治疗UPJO新的金标准,相关文献报道了LP成功治疗成人异位肾伴肾盂积水的案例,但腹腔镜手术对于术者的缝合技巧要求很高,机器人辅助腹腔镜肾盂成形术治疗成人异位肾肾盂积水的案例鲜有报道。泌尿外科史本康教授团队开展的达芬奇机器人辅助腹腔镜异位肾肾盂成形术具有3D手术视野、震颤过滤、输尿管缝合效率高等优点,同时术后住院时间短、并发症少以及疼痛程度轻,因此,机器人肾盂成形术是治疗异位肾伴肾盂积水的安全、有效的选择,具有良好的应用前景和临床价值。(通讯员 蒋学文)