省内首例!齐鲁医院完成OCT指导下SVG病变介入治疗
鲁网3月2日讯 近期,齐鲁医院老年医学科郄良毅副主任医师、崔晓霈副主任医师、逯伟达主治医师等在张红雨主任和心内科李继福主任医师指导下,完成山东省首例光学相干断层成像(Optical Coherence Tomography ,OCT)指导下静脉桥血管(Saphenous Vein Grafts,SVG)病变介入治疗。经过4个月随访,患者病情稳定,未再出现临床症状。
患者是一名55岁男性,有高血压、糖尿病、长期吸烟史。2017年行冠状动脉搭桥术,4个月前因反复胸痛来我院就诊,冠状动脉CTA提示SVG-LCX近段重度狭窄。住院后行桥血管造影显示,动脉桥血管未见明显异常,SVG-LCX起始段狭窄约95%(图1)。研究表明SVG病变多由松软易碎的胆固醇脂质斑块及血栓组成,常规治疗极易导致无复流或慢血流等严重并发症,因此SVG病变介入治疗属于高危手术。OCT是一种高分辨率、非接触性的生物组织成像技术,其轴向分辨率可达10微米。OCT指导下冠状动脉血管介入治疗(PCI)已非常成熟,根据OCT优化PCI标准路径(MLD-MAX),需要先评估斑块性质、病变长度、血管直径,植入支架后还需要观察有无夹层、支架贴壁以及支架膨胀情况。

图1 SVG近段严重狭窄
OCT不仅能识别SVG病变的斑块性质,同时对血管直径大小判别具有良好的一致性,对预判术中发生无复流或慢血流的可能性提供了重要参考价值,便于术前做好预防措施。
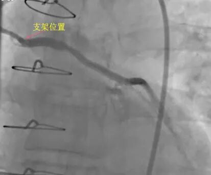
OCT显示该患者SVG近段病变处有血栓及脂质斑块(图2),经过团队充分讨论后,考虑直接植入支架极易出现无复流或慢血流,需要先于SVG预置远端保护装置,并根据OCT测算病变血管直径和长度,选择合适尺寸的支架。最终在SVG病变处成功植入4.5×18mm支架一枚并充分后扩张,造影显示手术即刻效果非常理想(图3),进一步行OCT显示支架贴壁良好、边缘未见血管夹层、无膨胀不良(图4)。术中病变血管也未出现无复流或慢血流。

图2 OCT显示SVG近段有血栓及脂质斑块

图3术后造影结果

图4术后OCT显示支架贴壁良好
作为国内第一期CRT-CSC国际OCT培训班成员,郄良毅副主任医师长期致力于复杂冠状动脉介入以及肺血管介入治疗的腔内影像学研究,尤其将OCT用于左主干分叉病变、钙化病变、支架内再狭窄、冠状动脉自发夹层等介入治疗中,提高了手术成功率,减少了相关并发症,改善了患者的长期预后。SVG病变的介入治疗具有风险高、难度大的特点,OCT可以优化SVG血运重建策略,减少相关并发症的发生。(通讯员 郄良毅 李 宁)
- 引领权威健康传播新风尚《壹问医答》观看量突破1亿人次2025-07-28
- 齐鲁医学情谊深 杏林新帆启新程——山东大学齐鲁医院(第一临床学院)妇产科举行2025届研究生、住院医师及进修医师毕业欢送会2025-07-02
- 喜报!齐鲁医院在第三届山东省住院医师规范化培训技能竞赛中实现“大满贯”2025-07-01
- 齐鲁医院发布国内首个心肌病专科大模型2025-05-28
- 齐鲁医院荣获山东省医院文化“医路繁花”健康科普大赛多项荣誉2025-05-28
- 齐鲁医院完成山东省第1700例非血缘造血干细胞捐献采集2025-05-26
- 齐鲁医院举办山东省肥胖症防治联盟成立会议2025-05-16
- 齐鲁医院主办第二届齐鲁医学创新转化大会2025-04-29
- 齐力护心·鲁韵新生——齐鲁医院首届人工心脏护心日和健康行活动启动2025-04-29
- 齐鲁医院陈玉国教授团队获批国家教育部主题案例立项2025-04-15