院内首例!齐鲁医院神经外科完成机器人辅助立体定向三叉神经半月节球囊压迫术
近日,齐鲁医院神经外科功能神经外科专业副主任迟令懿团队完成院内首例机器人辅助立体定向三叉神经半月节球囊压迫术。术后,患者面部疼痛即刻消失,已顺利出院。
患者姜某,68岁,三叉神经痛已困扰他5年了。疼痛发作起来痛不欲生,口服药卡马西平的效果越来越差,吃饭、刷牙、洗脸都成了奢望,手术治疗三叉神经痛已迫在眉睫。然而,患者脑梗死反复发作10余年,导致左侧肢体瘫痪;高血压10余年,未规律服用降压药,血压控制差;当地医院因风险高未同意手术治疗。于是,患者及家属慕名前来山东大学齐鲁医院,迟令懿接诊治疗。
接诊后,迟令懿团队详细评估了患者病情,认为患者年龄大,基础疾病多,开颅手术风险较高,而三叉神经半月节球囊压迫术具有微创、无痛、疗效确切、术后恢复快、费用相对较低等优势,更适合老年三叉神经痛患者及三叉神经显微血管减压术后或射频热凝术后疼痛复发患者。

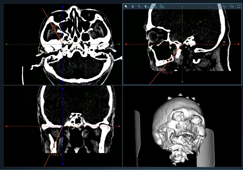
图1 术前通过机器人手术计划系统
设计术中穿刺路径及靶点

图2 术前在机器人辅助下定位穿刺点
但该患者手术需要精确的三维定位,术中需把穿刺针准确穿入皮下约8cm深、直径仅为3mm左右的卵圆孔,传统方法只能在C型臂引导下徒手穿刺,一次性穿刺成功率低。如何高效率穿刺成功,从而减少患者术中风险成为了迟令懿团队亟待解决的问题。在神经外科副主任李卫国的指导下,迟令懿采用机器人辅助立体定向下穿刺。术前验证误差仅为0.3mm,术中仅用10秒钟即完成了穿刺操作,避免了反复穿刺导致的血管、组织损伤,减少了C型臂透视的次数,降低了手术风险和并发症。术后,患者面部疼痛即刻消失,1天后顺利出院。

图3 术中在机器人辅助下穿刺并置入球囊

图4 术中C型臂透视显示:球囊成形好,压迫满意
迟令懿介绍,神经外科手术精度要求高,任何的偏差都可能引起重要血管、组织的损伤,手术风险高。而机器人具有精准和稳定的优势,契合神经外科手术需求,在齐鲁医院神经外科已广泛应用于病变组织活检、脑深部电极植入术、SEEG(立体定向脑电图技术)、血肿和脓肿穿刺引流等手术,具有良好的应用前景。(通讯员 王济潍 李小诗 )