山东省肿瘤医院胡旭东主任:以“隐形手术刀”为老年肺癌患者重塑治疗希望
肺癌是最常见的恶性肿瘤之一,发病率与死亡率长期位居恶性肿瘤前列。随着人口老龄化进程不断加剧,老年肺癌患者的发病人数与临床占比均呈持续攀升趋势。一直以来,外科手术都是临床公认的早期肺癌首选根治性治疗手段,但对于高龄、合并多种基础疾病的患者,过高的围手术期风险,往往让医患双方都难以抉择。
“不能手术,是否意味着失去根治机会?”这一困扰高龄肿瘤患者家庭的难题,如今在精准放疗技术的进展中找到了新的解答。山东省肿瘤医院胸部放疗二病区主任医师胡旭东,正是这一领域的重要实践者与推动者。
技术破局:当“精准放疗”成为根治新选择
立体定向体部放疗(SBRT),是一种先进的非侵入性高精度放疗技术。它通过多角度射线束将高剂量辐射精准聚焦于肿瘤,在少数几次治疗内达到根治效果,被形象地称为“隐形手术刀”。
“对于因高龄、心肺功能不佳等因素无法耐受手术的早期非小细胞肺癌患者,SBRT已成为国内外权威指南推荐的标准根治方案之一。”胡旭东主任介绍到。
胡旭东主任拥有医学博士/博士后学历,曾赴美国麻省总医院肿瘤中心等机构专项进修立体定向放疗技术,并将其成熟应用于临床。山东省肿瘤医院放疗团队已经建立了规范的SBRT治疗流程,从精准定位、靶区勾画到计划制定与实施,均严格执行质量控制标准,确保治疗的安全性与有效性。

临床见证:两位高龄患者的治疗之路
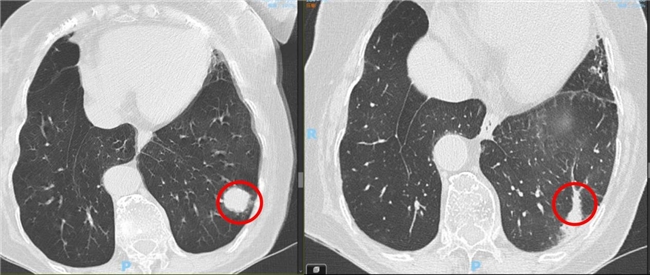
病例一:77岁早期肺鳞癌患者的精准根治
2022年,77岁的李女士(化名)确诊左肺下叶早期鳞癌。肿瘤虽属早期,但综合评估显示,其高龄状态使围手术期并发症风险增加。经医院多学科团队讨论,最终采纳了胡旭东主任的建议,采用SBRT作为根治手段。
治疗分5次进行,总剂量55Gy,在两周内完成。整个过程无需开胸麻醉,患者耐受良好。治疗后随访显示,肿瘤持续缩小并长期保持稳定。截至2025年8月,患者无疾病进展迹象,治疗相关反应轻微,生存质量得以提升。

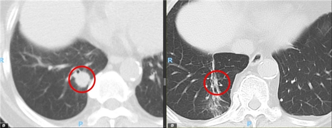
病例二:80岁合并基因突变患者的个体化治疗
另一位80岁的王女士(化名),病情更为复杂。她不仅患有右肺早期腺癌,同时检测出EGFR L858R基因突变。面对高龄个体手术风险与肿瘤生物学特性,胡旭东主任团队制定了“SBRT局部根治联合靶向药物全身治疗”的个体化策略。
SBRT治疗顺利实施,后续复查显示肿瘤显著缩小。结合靶向药物治疗,患者病情得到全面控制。截至2026年3月的最新随访,患者状态稳定,治疗过程中未出现严重不良反应。
“这两个案例表明,现代肺癌治疗已进入‘个体化精准时代’。”胡旭东主任分析,“治疗决策不再局限于单一手段,而是基于肿瘤分期、生物学特性、患者全身状况及个人意愿的综合考量。”

初心不改:以技术与人文守护老年患者生命之光
作为放射肿瘤学博士,主任医师,胡旭东主任从事临床肿瘤放疗近30年了,同时他也时刻追踪着国际放疗的前沿进展,积极将先进的放疗技术,治疗理念应用于患者的临床实践。
近五年来,他带领科室重点开展早期肺癌立体定向放射外科等新技术,在国内该领域保持先进水平。与此同时,他特别强调“全程管理”理念——在精准治疗之外,整合营养支持、症状控制、康复指导与定期随访,为老年患者提供覆盖治疗全周期的医疗照护。
“医疗技术的价值,最终体现在患者获益上。”胡旭东主任表示,“我们的治疗目标不仅是控制肿瘤、延长患者生存期,更要最大限度帮助老年患者在治疗全程维持生活质量、守护生命尊严。”

未来展望:精准医疗的更多可能性
从医二十余载,胡旭东主任始终坚守临床一线,其专业贡献也获得认可——曾获山东第一医科大学脱贫攻坚专项奖励、山东省肿瘤医院优秀共产党员等荣誉。然而在他看来,比荣誉更重要的是通过技术创新与人文关怀,切实解决患者的临床难题。
在人口老龄化与肺癌发病率持续攀升的当下,胡旭东主任及其团队的实践表明:医学进步正不断拓宽治疗边界。对于老年肺癌患者,年龄与身体状况不再是无法逾越的治疗障碍。通过多学科协作与个体化方案,生命在晚年依然可以更有质量与希望。
这把“隐形手术刀”所承载的,不仅是精准的技术,更是对生命尊严的守护。在对抗肺癌的道路上,这种融合技术创新与人文关怀的医疗实践,正为更多家庭点亮前行的灯。